Описание изобретения к патенту
Изобретение относится к области медицины, а именно к ортопедической стоматологии.
Известны спортивные зубные шины, изготовленные из эластических пластмасс (Боксила, Эластопласта). (Щербаков А.С., Гаврилов Е.И., Трезубов В.Н. Ортопедическая стоматология. — С.-Пб.: ИКФ «Фолиант», 1998, С.556.)
Они предназначены для предупреждения травмы зубов, слизистой оболочки верхней губы и височно-нижнечелюстного сустава у боксеров во время боя. Шина покрывает всю верхнюю челюсть до переходной складки (зубы, альвеолярный отросток, твердое небо). Для зубов нижней челюсти на свободной поверхности шины имеются отпечатки.
Эти боксерские шины выбраны за прототип.
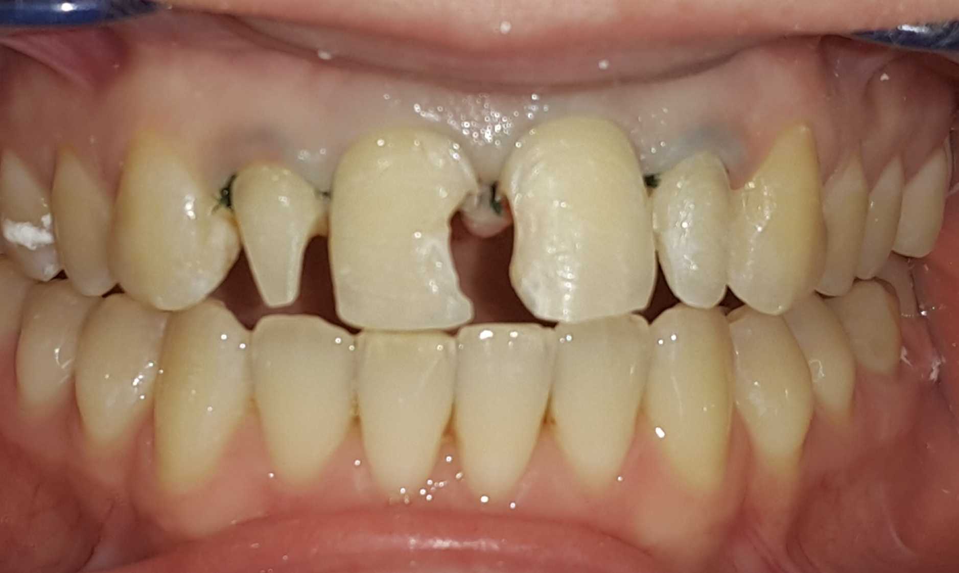
Недостатком всех спортивных зубных шин, в том числе индивидуальных, является перегрузка зубов, восстановленных конструкционными материалами либо покрытых искусственными коронками, которые не рекомендуется подвергать нагрузке во избежание повреждений ортопедических конструкций и отреставрированных зубов, возникновения микротрещин, что может привести к развитию рецидивирующего кариеса.
Задачей изобретения является обеспечение сохранности восстановленных конструкционными материалами (композиционные материалы, искусственные коронки) зубов.
Техническим результатом изобретения является обеспечение возможности предотвращения критического давления на проблемные зубы.
Указанный технический результат достигается тем, что известные спортивные зубные шины из эластической пластмассы, покрывающие на верхней челюсти зубные ряды, твердое небо и вестибулярный скат альвеолярных отростков, а на нижней челюсти — зубы до экватора, согласно изобретению выполнены с учетом зазора в 0,5 мм по всей поверхности коронки зуба, восстановленного конструкционным материалом.
Наличие зазора препятствует появлению критического давления на проблемный зуб, что обеспечит его сохранность. Величина зазора отработана экспериментально и является оптимальной.
Спортивные зубные шины изготавливают следующим образом:
получают полные анатомические оттиски с верхней и нижней челюстей, по оттискам отливают гипсовые модели, на них отмечают границы шин, модели гипсуют в окклюдатор в положении центральной окклюзии, производят разобщение модели на толщину шины (2-3 мм), на всю поверхность коронки зуба (зубов), восстановленного конструкционными материалами (с ортопедическими конструкциями и/или подвергшиеся реконструкции), наносят компенсационный лак толщиной 0,5 мм. Осуществляют моделирование шины из воска: со стороны преддверия рта шина доходит до переходной складки, огибая уздечки и тяжи слизистой оболочки и покрывая верхнечелюстные бугры, на небной стороне каппа захватывает зону поперечных складок, оставляя свободным небный шов. Таким образом, шина покрывает зубные ряды, твердое небо и вестибулярный скат альвеолярных отростков. На нижней челюсти шина перекрывает режущие края и жевательные поверхности зубов до экватора. Гипсовую модель с восковой репродукцией шины гипсуют в кювету, выплавляют воск, покрывают изоляционным лаком гипсовую модель и контур-пресс-форму, осуществляют паковку эластической пластмассой, например «Боксилом» или «Боксилом-экстра», проводят прессовку кюветы, извлекают, промывают и дезинфицируют шину.
Весовые категории в боксе
В профессиональном боксе существуют следующие весовые категории (17 категорий):
- Свыше 90,718 кг – тяжёлый вес
- До 90,718 кг – первый тяжёлый вес
- До 79,378 кг – полутяжёлый вес
- До 76,203 кг – второй средний вес
- До 72,574 кг – средний вес
- До 69,85 кг – первый средний вес
- До 66,678 кг – полусредний вес
- До 63,503 кг – первый полусредний вес
- До 61,235 кг – лёгкий вес
- До 58,967 кг – второй полулёгкий вес
- До 57,153 кг – полулёгкий вес
- До 55,225 кг – второй легчайший вес
- До 53,525 кг – легчайший вес
- До 52,163 кг – второй наилегчайший вес
- До 50,802 кг – наилегчайший вес
- До 48,988 кг – первый наилегчайший вес
- До 47,627 кг – минимальный вес
Весовые категории в любительском боксе
В любительском боксе существуют следующие весовые категории (10 категорий):
- свыше 91 кг – супертяжелый вес
- 81-91 кг – тяжёлый вес
- 75-81 кг – полутяжёлый вес
- 69-75 кг – средний вес
- 64-69 кг – полусредний вес
- 60-64 кг – первый полусредний вес
- 56-60 кг – лёгкий вес
- 52-56 кг – легчайший вес
- 49-52 кг – наилегчайший вес
- 46-49 кг – первый наилегчайший вес
Когда и кем используется защитная капа для зубов?
Можно ли обойтись без защиты зубов? Если занимаетесь одним из видов единоборств, то однозначно НЕТ. Применение этого элемента означает:
- Эффективную защиту зубов и челюсти;
- Поддержку стабильности и снижение вероятности перелома челюсти;
- Поток воздуха при выбитом зубе не прекращает поступать и удается исключить обструкцию трахей;
- В полости рта реже образуются рваные раны;
Сегодня производят капы из эластичных полимеров, способных при нагревании изменять форму. Такое свойство очень полезно при подгонке аппарата под прикус каждого спортсмена. Индивидуальная конструкция снижает внутричерепное давление и уменьшает силовое воздействие на шейные позвонки.
Удачно выбранная капа защищает наиболее уязвимое место боксёра – зубы.
Статистика доказывает, что при проведении боксерских поединков колпачки позволяют сохранить зубные ряды в целостности при нокаутирующем ударе в подбородок. Уменьшается вероятность ушибов при прямых ударах. Капы для бокса снижают риск получения травм позвоночника и сотрясения головного мозга, смягчая удар.
Кому нужна зубная защитная накладка? Всем, кто занимается боксом, одним из контактных спортивных видов (хоккей, американский футбол, регби), экстремальным спортом (фристайл, слалом, трюки на велосипедах, скейдбодинг).
Боксеры выглядят как гориллы
Хорошего боксера невозможно определить по внешности. Здоровый кабан с огромными банками и бородой выглядит очень внушительно, но он вполне может сдуться после первого пропущенного в печень. Суровая внешность, агрессивная развязность в поведении часто лишь маска, которая спадает с первыми пропущенными ударами. И вот уже здоровяк с руками толще твоих в три раза просит не бить так сильно или надеть 16-унцовые перчатки. Точно так же мелкие задохлики, замарашки, на которых в обычной жизни без слез не взглянешь — плюнуть и растереть, подчас проявляют в ринге такие чудеса, что становится немного стыдно за себя. Ты считал его гораздо слабее, а он, сука, бьется и бьется, он прессингует, он кидается на тебя и чуть ли не хочет убить в ринге; у него глаза девственника, но он гораздо опаснее всех этих татуированных альфа-самцов. Не все и не всегда, но такие встречаются.
В боксе выбивают зубы
Очень редко на соревнованиях высокого класса. Некоторые тренеры за всю свою карьеру не могут вспомнить ни одного подобного случая. Посмотри на боксеров-профи — практически ни у кого нет пробелов в улыбке. Во-первых, удар в перчатке распространяется на большую площадь — это не то что заехать голым кулаком по лицу и попасть прям костяшкой в зуб. Во-вторых, шлем (условимся, что все спарринги мы проводим в шлеме, пусть Федерация любительского бокса и отменила их на соревнованиях). Все шлемы защищают челюсть по бокам и дополнительно распределяют силу удара по своей поверхности. В-третьих, капа. Капы в боксе используются только для верхней челюсти — нижняя подвижна и частично амортизирует удары. Капа очень хорошо бережет зубы. В отличие от почти невыбиваемых зубов, небольшие сколы иногда случаются, но опять же это редчайшие травмы. Сломать нос гораздо проще, а нос, как известно, в отличие от зубов, заживает сам.
Технология изготовления
Большинство спортсменов, предпочитают накладку на зубы, изготовленную по индивидуальному заказу. Это намного комфортнее, безопаснее и удобнее.
Процесс создания более долгий, и начинается с посещения стоматолога. На первом приеме врач снимает оттиски обеих челюстей будущего пользователя. Данная процедура может быть осуществлена традиционным способом либо при помощи 3D-сканирования.
Поскольку каппа в большинстве случаев делается только для верхней челюсти, специалисту нужно при получении оттиска проследить за тем, чтобы на слепке была отчетливо видна уздечка губы, переходная складка и небо до 1-го моляра.
Во время этого приема врач также оговаривает с клиентом материал, дизайн и цвет защитного приспособления. Так, по его желанию на изделии можно сделать надпись, рисунок, либо добавить вкус.
Дальнейший процесс изготовления каппы продолжается в лаборатории. Сначала из гипса при высокой температуре и давлении делается модель челюсти клиента. Затем по ней, в зависимости от вида спорта, создается 2-х или 3-слойная конструкция.
Сам процесс создания каппы заключается в прессовке нескольких слоев термопластичного материала, обладающих разными показателями гибкости, прочности и жесткости, в одно изделие.
Готовая конструкция должна охватывать первый премоляр, покрывать с лабиальной стороны альвеолярный отросток, иметь выемку для щечных и губных уздечек, и перекрывать на 4,0 мм небо по всему своему периметру.
Как только готовое приспособление поступает обратно в клинику, его обязательно примеряют и при необходимости корректируют. После выдачи каппы, врач обязательно дает рекомендации относительно ухода, ее хранения и пользования.

ММА опаснее бокса
Бокс — более жесткий вид спорта, чем смешанные единоборства. «Это бред», — скажешь ты. А вот и нет. На первый взгляд ММА с их ударами ногами, добиваниями, маленькими перчатками и минимумом ограничений должен быть гораздо опаснее и травматичнее архаичного бокса. На самом деле все гораздо сложнее. В ММА львиную долю схватки занимает возня в борьбе, которая объективно менее травмоопасна, чем хорошо поставленные удары в стойке, несмотря на специфические травмы борцов. Также большую часть поединка съедают лоукики, крайне болезненные, но не имеющие серьезных последствий. На жесткие удары в голову в ММА остается не так много времени. При том что самые опасные для здоровья бойца травмы, как правило, связаны именно с ударами в голову: в нее едят, ей думают, из нее растут глаза, которые перестают нормально видеть после частых ударов.
Бокс же со своими ограничениями оставляет для ударов только корпус и голову, при этом большинство атак все-таки приходится на голову. К тому же боксеры, освобожденные в своем тренировочном процессе от отработки ударов ног и борьбы, гораздо больше времени отдают отработке жестких ударов руками, и жестче, чем боксер, руками не бьет никто. Если, условно, боец ММА отдает по 33 % времени на тренировку борьбы, рук и ног, то боксер отдает рукам все 100. Очевидно, что удар боксера гораздо опаснее.
Так что подобные рассуждения от непрофессионала в сфере нельзя принимать на веру. Благо этот вопрос уже исследован спортивными врачами. В университете при Клинике спортивной медицины Глена Сатера изучили данные 1181 бойца ММА и 550 боксеров. Оказалось, что почти 60 % бойцов ММА и около 50 % боксеров получали травмы во время поединков, но боксеры получали серьёзные повреждения глаз и тяжелые нокауты в два раза чаще. К тому же боксерам гораздо чаще запрещалось после соревнований длительное время участвовать в спаррингах.
С 1998 по 2001 год на ринге погибло около 60 известных боксеров, в то время как в ММА эта цифра составляет всего 4 человека.
Основные принципы работы боксерской шины
Боксерская шина в стоматологии представляет собой специальное устройство, которое используется для стабилизации и фиксации зубов в случае их повреждения или травмы. Она позволяет сохранить правильное положение зубов и предотвращает их дальнейшее перемещение.
Основные принципы работы боксерской шины заключаются в следующем:
Фиксация зубов: боксерская шина надевается на верхнюю или нижнюю челюсть и прилегает к зубам, фиксируя их в определенном положении. Это позволяет предотвратить их смещение и уменьшить давление на поврежденные или травмированные зубы.
Предотвращение повреждений: благодаря боксерской шине, зубы оказываются защищены от дополнительных повреждений, которые могут возникнуть при смещении или передвижении
Это особенно важно в случае переломов зубов или повреждений, вызванных травмой.
Снижение нагрузки: боксерская шина распределяет силу прикуса по всей поверхности зубов, что снижает нагрузку на поврежденные или травмированные зубы. Это способствует ускоренному заживлению и предотвращает дальнейшие осложнения.
Боксерская шина может быть выполнена из различных материалов, таких как прозрачный пластик или металлическая конструкция. Она может быть индивидуально изготовлена под каждого пациента в стоматологической лаборатории.
Основные преимущества использования боксерской шины в стоматологии заключаются в том, что она эффективно фиксирует и стабилизирует зубы, предотвращает их дальнейшее перемещение, снижает нагрузку на поврежденные зубы и ускоряет их заживление.
Преимущества использования боксерской шины в стоматологии
Боксерская шина – это инновационное стоматологическое изделие, предназначенное для защиты зубов и мягких тканей полости рта от повреждений во время контактного спорта или других активных физических нагрузок. Вот некоторые преимущества использования боксерской шины в стоматологии:
Защита зубов от травм – боксерская шина предотвращает повреждение зубов и смягчает удары, которые могут возникнуть во время спортивных тренировок или схватки. Она поглощает энергию удара, снижая риск переломов, сдвигов и других повреждений зубов.
Предотвращение травм мягких тканей – боксерская шина также защищает мягкие ткани полости рта, включая губы, язык и щеки от возможных повреждений, которые могут произойти при случайных контактах с соперником или оборудованием.
Удобство и комфорт – боксерская шина обычно изготавливается индивидуально для каждого пациента с использованием мягкого и гибкого материала, такого как силикон или акрил. Это значительно повышает комфорт при ношении шины, не ограничивая дыхание и речь.
Длительный срок службы – правильно изготовленная и правильно сопровождаемая боксерская шина может использоваться в течение долгого времени. Это дает пациентам возможность наслаждаться ее преимуществами и эффективной защитой на протяжении многих тренировок или соревнований.
Понижение риска нарушения прикуса – боксерская шина помогает предотвратить смещение зубов и изменения прикуса, которые могут возникнуть в результате повреждений зубов и мягких тканей полости рта
Это особенно важно для спортсменов, занимающихся контактными видами спорта.
Обратитесь к своему стоматологу, чтобы узнать больше о преимуществах использования боксерской шины и о том, какая шина лучше подходит именно вам.
Терапевтическая стоматология
Один из самых важных и распространенных разделов в стоматологии. С помощью терапевтической стоматологии можно вовремя спрогнозировать и вылечить самые различные заболевания зубов.
На сегодняшний день существует множество терапевтических процедур и операций, которые помогут сохранить здоровье зубов и вылечить стоматологические болезни.
Среди методов диагностики и лечения, которые применяют стоматологи для выявления зубных заболеваний на ранних стадиях можно выделить:
• Диагностика, лечение кариеса и предотвращение повреждения зубов;
• Моделирование и установка на зубы частей, которые были утрачены. Такое лечение предоставляет пациентам возможность частично восстановить тело зуба;
• Эндодонтические процедуры. Направлены на лечение тканей, которые находятся в непосредственной близости к зубу, а также к каналам зуба;
• Выявление повреждения зубов разной категории и в разной стадии;
• Лечение заболеваний полости рта.

Художественная реставрация

Лечение кариеса


















Лечение корневых каналов











Лечение корневых каналов зуба 3.7. Стрелкой на первом фото указан размер очага воспаления костной ткани. Второй снимок-контроль пломбирования каналов. Третий снимок- активное заживление очага (компьютерная томография через 5 месяцев).
Лечение корневых каналов зуба 3.7. Стрелкой на первом фото указан размер очага воспаления костной ткани. Второй снимок-контроль пломбирования каналов. Третий снимок- активное заживление очага (компьютерная томография через 5 месяцев).
Лечение корневых каналов зуба 3.7. Стрелкой на первом фото указан размер очага воспаления костной ткани. Второй снимок-контроль пломбирования каналов. Третий снимок- активное заживление очага (компьютерная томография через 5 месяцев).
Работа Бакулиной А. В. под микроскопом.
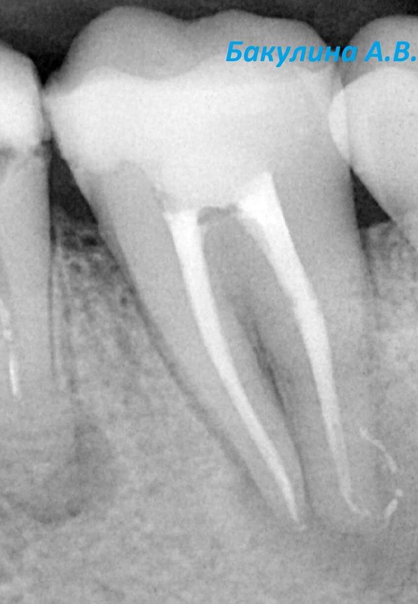
Перелечивание корневых каналов зуба 3.4 (пропущен канал, который указан стрелкой). Третий снимок- контроль пломбирования 2-х корневых каналов.
Работа Бакулиной А. В. под микроскопом.
Перелечивание корневых каналов зуба 3.4 (пропущен канал, который указан стрелкой). Третий снимок- контроль пломбирования 2-х корневых каналов.
Работа Бакулиной А. В. под микроскопом.
Перелечивание корневых каналов зуба 3.4 (пропущен канал, который указан стрелкой). Третий снимок- контроль пломбирования 2-х корневых каналов.
Зуб 4.1. Стрелкой на первом фото указан пропущенный корневой канал. Но втором фото- зуб через 2 года после лечения.
Зуб 4.1. Стрелкой на первом фото указан пропущенный корневой канал. Но втором фото- зуб через 2 года после лечения.
Зуб 4.6. Некачественное лечение корневых каналов. Второе фото-контроль пломбирования каналов. третье фото-контрольный снимок через год после лечения.
Зуб 4.6. Некачественное лечение корневых каналов. Второе фото-контроль пломбирования каналов. третье фото-контрольный снимок через год после лечения.
Зуб 4.6. Некачественное лечение корневых каналов. Второе фото-контроль пломбирования каналов. третье фото-контрольный снимок через год после лечения.
Работа Крапивина Е.С.
Зуб 3.6. Лечен по поводу острого пульпита пульпита. Корневые каналы обработаны никилид- титановыми инструментами под увеличением, объемная обтурация горячей гуттаперчей.
Изготовление защиты для зубов боксера
Литые капы для бокса подгонять нет необходимости, они производятся заводом определенной формы и размеров. Купить капу можно недорого, но подобрать идеальную практически нереально. Удар такие колпачки сделают мягче, однако из-за не неплотного совмещения зубов не стоит ожидать, что эмаль не расколется, и губы не повредятся.
Формуемые пластинки любят ставить новички и профессиональные боксеры. При получении колпачков используется специальная заготовка из термопластика. Этот материал при опускании в нагретую до 95 градусов воду становится мягким и в таком размягченном состоянии ему можно придать форму конкретного зубного ряда. Достаточно после нагревания немного охладить заготовку, пожевать и плотно прижать к поверхности зубов пальцами. После остывания изделие готово к применению.
Самым предпочтительным вариантом будет изготовление пластин по гипсовому слепку в кабинете стоматолога. Защита для зубов боксера индивидуальными капами из высокотехнологичных материалов самая безопасная, комфортная, но и наиболее дорогая.
Помните, при использовании защитных колпачков не должно быть болевых ощущений, дискомфорта, затруднений при дыхании, а сама конструкция должна быть эластичной и крепкой.
| Как я отбелила зубы в короткие сроки Через 1 неделю зубки стали БЕЛОСНЕЖНЫЕ! Я просто делала… |
Медицинские противопоказания для занятий боксом
- нервной системы — атеросклероз мозга, невриты , вегетоневрозы, неврастения, спондилоатрозы, сотрясения мозга, эпилепсия, энцефалопатия, психические заболевания;
- сердечно-сосудистой системы — атеросклероз, гипертоническая болезнь, аритмия, ишемическая болезнь сердца, миокардиодистрофия, кардиомиопатия , миокардит , перикардит хронический, врожденные и приобретенные пороки сердца, эндокардит хронический, заболевания сосудов;
- органов дыхания — бронхиальная астма, бронхиолиты с нарушением функции дыхания, бронхоэкстазия, пневмосклероз легких, туберкулез легких;
- органов пищеварения — ахилия желудка, гатроптоз, язвенная болезнь, заболевания печени и желчных путей, желчно-каменная болезнь;
- мочеполовой системы — блуждающая почка, нефрозы, нефрит, почечно-каменная болезнь, опухоли мочевого пузыря с нарушением функций;
- крови — анемия и лейкемия, болезнь Вергольфа, лимфогранулематоз, гемофилия, геморрагические диатезы (капилляротоксикоз и др.);
- эндокринной системы — Аддисонова болезнь, акромегалия, гипертериоз, микседема, инфантилизм, диабет сахарный;
- при наличии глазных болезней — астигматизма , близорукости свыше 5 Р (для юношей свыше 4,0 Р), глаукомы, катаракты, монокулярного зрения;
- заболеваний уха, горла, носа — аденоидов носоглотки, глухонемоты, отитов гнойных, симптомокомплекса Меньера, отосклероза, острых заболеваний полости рта, наличие съемных зубных протезов;
- заболеваний кожи — инфекционных болезней кожи, грибковых заболеваний;
- болезней опорно-двигательного аппарата — артрита деформирующего, артрита нейродистрофического, полмиозита остеохондропатии, вывихов врожденных, контрактур рубцовых, вывихов привычных, косолапости, кривошеи, остеодистрофии, остеомиелита хронического.
- кожные заразные заболевания
- острые воспалительные заболевания
- период реконваленсцентности после перенесенных заболеваний (срок допуска к занятиям устанавливается в каждом конкретном случае в зависимости от характера и течения заболевания)
- ревмокардит (в благоприятных случаях не ранее, чем через 6-12 месяцев после ликвидации клинических проявлений)
- гельминтозы (с клинически выраженным и нарушениями)
- травмы опорно-двигательного аппарата
- повреждения лица и головы.
В боксе тебе надают по голове и отправят в нокаут
Чтобы поставить нокаутирующий удар, нужно потратить несколько лет, потом выйти на соревнования и четко попасть в человека, который такого же уровня спортсмен. Нет, это не просто. Большинство боев в боксе заканчивается не нокаутами, а разводится по очкам — достаточно посмотреть чемпионат мира или Олимпиаду. И еще реже нокаут можно встретить при отработках и обычных спаррингах. Нокаут — это из ряда вон выходящее событие, а не обычное дело в боксе. Чтобы дорасти до такого уровня, когда выходишь биться с противниками, действительно способными вырубить с полщелчка, нужно пахать в зале много лет. Вряд ли большинству это грозит.
Травмы челюсти в боксе
Всем известно, что бокс занимает первые места в рейтингах самых травматических видов спорта. Чаще всего от тяжелого удара боксерской перчатки страдает голова бойца, из-за этого очень распространены переломы, ушибы и смещения челюсти. Неоднократно в истории бокса были случаи даже двойных переломов. Травмы челюсти по праву считаются одними из самых неприятных повреждений. Они заживают тяжело и в течение длительного срока, во время которого больной будет испытывать дискомфорт во многих аспектах: приеме пищи, разговоре, и даже во сне. Начнем с менее опасных травм челюсти – ушибов. Здесь чаще всего присутствует деформация зубов или их выпадение, воспаление тканей лица.
Сразу стоит уточнить: потеря зубов в боксе практически невозможна благодаря использованию спортивных кап, без которых не проходит ни один поединок на ринге. Но, не смотря на это, воспаление мягких тканей возникает довольно часто. Оно иногда сопровождается появлением больших гематом, покраснением кожи. К симптомам ушиба челюсти можно отнести сильную боль при движениях ртом, увеличение температуры тела, воспаление лимфатических узлов. При незначительном ушибе врач боксера приложит ему к травмированному участку мешок со льдом, но если травма сильная, тогда поединок останавливают. Самые опасные повреждения – переломы. Они могут стать причиной неправильного сращивания кости, нарушению жевательной функции, нарушению лекции. Есть открытые и закрытые переломы. Если после раунда врач диагностирует второй вид перелома – бой немедленно останавливают. Симптомы закрытого повреждения – гематомы, сильная боль, кровотечение.
Когда травму получает обычный человек (в быту, в уличной драке) ему следует немедленно наложить повязку для фиксации и поставить холодный компресс. Большинство травм челюсти требуют хирургического вмешательства после окончания поединка из-за угрозы неправильного сращивания, частичного нарушения глотательной или жевательной функций.
Уникальное решение проблем полости рта!
Израильский Орал био комплекс уже в России.
Социальная ответственность нашего бизнеса – это максимальное снижение стоимости наших препаратов для решения Ваших задач.
С самого начала своей деятельности мы делаем максимальные скидки при покупке нескольких препаратов как для поврежденной кожи, так и для снятия болей и восстановления суставов
Мы заботимся о Вашем здоровье!
Работаем с картами Ситилайф
Скидка и кеш бек при покупке с картами Ситилайф
тел/факс в Рязани -+7 4912 706296 новый телефон для справок +7 4912 996774
Уникальная 100% натуральная фито аппликация “Секрет 24 го Карата” от DENOVA Royal Cosmetic Projects
“24K The Secret” (Секрет 24-го Карата ) заставляет организм запускать уникальные функции самовосстановления организма человека, создавать мощный лимфодренаж и микроциркуляцию крови на уровне клетки, регенерацию мышечной и межсуставной активности, процессов метаболизма путём воздействия всех составляющих этого уникального продукта, базированного на применении самых современных израильских биотехнологий.
Основа 100% натуральной Иловой ФИТОаппликации “24К The Secret” (Секрет 24-го Карата ) – ил Мёртвого моря, биотехнологии, уникальные экстракты и масла Иудейской пустыни, Шотландского высокогорья и Альпийских лугов из следующих трав: – Аллой, Адамов Корень, Девясил, Донник, Лавровый лист, Омела, Полынь, Розмарин, Эвкалипт, Эфедра Компоненты: камфара, салициловая кислота, прополис, глицерин, ароматические масла, биомикрокапсулы с витаминами А и Е, маслом бурачника (Borage oil).
Польза и вред бокса
Наверное, сегодня каждый человек хотя бы раз слышал о виде спорта под названием бокс. На протяжении многих лет он относится к востребованным видам единоборств: число его поклонников год за годом только лишь растёт.
Что такое бокс для человека, практически незнакомого с данным видом спорта? Состязание, заключающееся в битье друг друга до тех пор, пока один из соперников не упадёт от потери сил. Неудивительно, что обыватели зачастую считают его вредным и опасным. Занимающиеся и любители же утверждают, что этот вид спорта несёт по большей части одну пользу. Так ли это на самом деле? Кто всё-таки прав?
Постараемся разобраться. Поговорим об основных доводах “за” и “против” занятий. Начнём мы с пользы.
Профилактика травм в боксе
| Рис. 6 — Шлем для бокса. С усиленной защитой ушной раковины, челюсти и носа |
Шлем
- открытые — защищает лоб, виски и уши
- с усиленной защитой ушей — мягкие кольца в соответствующей области
- с твердым верхом — защищает макушку головы
- с закрытым подбородком и щеками — для лучшей защиты челюсти и носа от боковых ударов
- с маской из прозрасного пластики или металлической решетки
Капа
| Не все капы одинаково полезны. |
- Способствует стабилизации челюсти.
- Предотвращает нанесение рваных ран в области рта.
- Защищает зубы и челюсть.
- Предотвращает возможную обструкцию трахеи выбитым зубом.
Литые капыФормуемые капыКапы самостоятельного изготовленияКапы по индивидуальному заказу
Бинтование кисти
|
Как правильно бинтовать руки? Существует много различных способов бинтования рук. Каждый боксер выбирает для себя наиболее удобный. С ростом профессионализма меняется как споcоб бинтования так и длинна задействованного бинта. Мы предлагаем вам несколько методов бинтования — выбирайте любой понравившийся: 1-й метод 2-й метод3-й метод 4-й метод5-й метод |
- Защищает кисть при ударе, выполняя роль амортизатора
- Стягивает многочисленные кости кисти и запястья стабилизируя их, уменьшая нагрузку на связки кисти
- Фиксирует запястье, закрепляя кисть относительно предплечья
- Утолщает кулак, благодаря чему боксерская перчатка лучше сидит на руке
- Бинты впитывают пот удлиняя срок службы перчаток
Боксерские перчатки
- вес (в унциях)
- внешний материал (кожа или кожзаменитель)
- форма самой перчатки
- застежка
| Рис. 7 — Боксерские и снарядные перчатки. |
Вопросы цены и покупки
https://youtube.com/watch?v=ytdevru
Сколько стоит капа? Цены разные. Следует изучать рынок. А далее предложена пара популярных примеров от топовых . Красная или чёрная. Предлагаем ознакомиться Список НПВС нового поколения в 2019 году
Благодаря ей зубы, губы, челюсти и дёсны травмируются гораздо реже. Изделие создано по новаторским технологиям. Размещается на зубах скрупулёзно точно и очень удобно.
Одночелюстная модификация. Боксёры часто применяют её в тренировках. Можно её применять и в прочих единоборствах. Принцип её изготовления – сильно нагрей и укуси. Это метод подгонки изделия под индивидуальные параметры челюсти.
Его цена – 300 руб.
- «Эверласт».




























